Family Dentistry of Forest Hill | West Palm Beach, FL
πŸŽ‰ Smile Makeovers Starting at $149/month β€” Same-Day Appointments Available

Experience Quality, Honest Dental Care with a Personal Touch

We practice dentistry from the heart! Expert cosmetic, restorative, and implant dentistry for your brightest smile.

  • Expert Cosmetic Dentistry
  • Same-Day Appointments
  • Advanced Technology
  • Personalized Care Plans
β˜…β˜…β˜…β˜…β˜…
4.5 Stars from 316+ Reviews
Special Offer
$149
Per Month

Transform Your Smile

Includes 8 upper crowns/veneers with 8 lower crowns/veneers at half price.

  • Porcelain Veneers
  • Invisalign
  • Crowns
  • Full Makeovers

*Starting price on approved payment plan. Subject to consultation.

πŸ‘¨β€βš•οΈ

4 Expert Cosmetic Dentists

Dr. Casel Β· Dr. Mendell Β· Dr. Bateman Β· Dr. Ponte

⚑

Same-Day Appointments

Walk-ins welcome, emergency care available

πŸ”¬

Advanced Technology

In-house lab, digital imaging, clear aligners

πŸ’™

Personalized Care Plans

Flexible financing, insurance-friendly options

Premium Dental Care

Our Services

From routine cleanings to complete smile makeovers, we provide comprehensive dental solutions tailored to your needs.

Porcelain Crowns

Compared to fillings which just cover a small portion of a tooth, a crown (or cap) encases the entire visible portion of a tooth. In effect, the crown acts as the tooth's new outer surface. A dental crown is used when a tooth is broken or decayed to such an extent that fillings aren't able to repair the problem.

Teeth Whitening

Our teeth can discolor through the years as our enamel wears down. The wearing down of enamel allows dentin, a yellow color substance that makes the core of our teeth, to show through. This is what gives our teeth a yellowish tint. Teeth whitening helps restore teeth to a shiny white color through the use of bleach.

Dental Veneers

Dental veneers are thin custom made shells that cover the front surface of your tooth to improve their appearance. They are made of tooth colored materials and can be used to improve the color of teeth that have been worn down or stained. Alternatively, they can be used to improve the shape or size of the tooth.

Dental Bridges

A dental bridge is a false tooth that is used to fill the gap created by a missing tooth or teeth. A gap between your teeth can be potentially dangerous to your dental health, as it can cause your teeth to shift resulting in a change in your bite that could be painful. Dental bridges help alleviate this problem by using the two surrounding teeth as anchors.

Dental Bonding

Dental Bonding is a restoration procedure in which a tooth-colored resin is bonded to a tooth and cured with an ultraviolet light. Bonding is faster and less expensive than veneers or crowns, and can thus be a good option to make small cosmetic improvements to your teeth. Unlike veneers and crowns, bonding can be done within one office visit.

Dental Inlays and Onlays

Dental inlays and onlays are a more conservative approach to tooth restoration than full crowns. They are used to repair rear teeth that have mild to moderate tooth decay, or for cracked teeth where the damage does not warrant a dental crown. Porcelain, composite resin and sometimes gold is used to create inlays and onlays.

Meet Our Team

Your Care Team

Dr. Daniel Casel

Dr. Daniel Casel

DMD

Dr. Daniel Casel, DMD, is a dedicated professional dentist at Family Dentistry of Forest Hill. With a focus on comprehensive family dentistry, Dr. Casel is committed to providing top-notch oral healthcare to patients of all ages.

Dr. Bateman

Dr. Bateman

DDS

Dr. Bateman was born and raised in Pennsylvania. She attended the University of Notre Dame and received her Doctorate of Dental Surgery at New York University, where she was a peer mentor and two-time recipient of the Dean's Research Award.

Dr. Armando Ponte

Dr. Armando Ponte

DDS

Dr. Armando Ponte is a general and cosmetic dentist originally from Toronto, Canada. He earned his Doctor of Dental Surgery degree from the prestigious Schulich School of Medicine & Dentistry at Western University.

Dr. Seth Mendell

Dr. Seth Mendell

DDS

For Dr. Seth Mendell, dentistry is all about connection. He loves getting to know his patients and helping them feel completely comfortable throughout their visit. He finds it rewarding to make a positive difference in every appointment.

Patient Testimonials

316+ Patients Who Love Their Smiles

β˜…β˜…β˜…β˜…β˜…

4.5

Google Rating

316+

Happy Patients

β˜…β˜…β˜…β˜…β˜…

"I had a visit yesterday and the team was amazing! I would recommend this dentist to anyone. With me being a woman and it being all ladies who helped me yesterday. I was comfortable! And they were all so nurturing, gentle and professional."

Nancy F.

β˜…β˜…β˜…β˜…β˜…

"Excellent service, they treated me like a king. The extraction was smooth and painless. The cleaning was amazing! My teeth look 15 years younger, best cleaning of my life. 100% recommended."

Juan C.

β˜…β˜…β˜…β˜…β˜…

"Very kind and professional staff, they helped me out with the payment and were so nice! Made an appointment and got my tooth extracted same day. The doctor was very accommodating making sure I was comfortable and numb up real good."

Cass R.

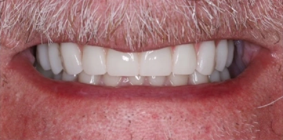
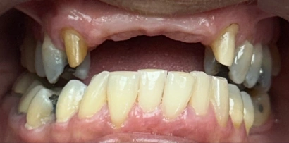
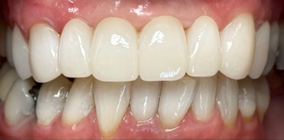
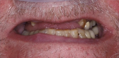
Smile Transformations

Before & After

Before
After
Before
After
Before
After

Ready to Transform Your Smile?

Schedule your consultation today and discover how we can help you achieve the smile you've always wanted.

πŸ“‹ Office Hours

  • Monday 9 AM – 5 PM
  • Tuesday 9 AM – 5 PM
  • Wednesday 9 AM – 5 PM
  • Thursday 9 AM – 5 PM
  • Friday 9 AM – 5 PM
  • Saturday 9 AM – 5 PM
  • Sunday Closed

πŸ“ Find Us

Family Dentistry of Forest Hill 1870 Forest Hill Blvd, Ste 103
West Palm Beach, FL 33406

Phone: (561) 556-2549